肺部 CT 秒杀:反晕征指示哪些疾病?
来源:丁香人才公众号
日期:2022-06-23

反晕征在肺部 CT 上的表现是中心密度降低的磨玻璃密度影,周围是新月形或环形的高密度影。感染性疾病和非感染性疾病都可表现为反晕征,不同疾病有不同的伴随征象。
01
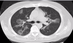
反晕征伴随条索影,指示机化性肺炎

图源:张嵩《诊断必备:肺部 CT 的诊断技巧及误区》
反晕征最常见于机化性肺炎。本病例双肺伴随多发磨玻璃影、反晕征、条索影。最后诊断为机化性肺炎,使用激素治疗后效果良好。
02
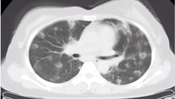
反晕征伴小结节,指示肺结节病

图源:张嵩《诊断必备:肺部 CT 的诊断技巧及误区》
结节病中的反晕征是许多小结节组成的。在反晕征和微小结节同时存在时,需要考虑结节病的可能。本病例即结节病,CT 表现为反晕征、多发结节,在激素治疗后好转。
03
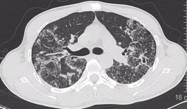
反晕征伴小结节、树芽征,指示肺结核
图源:张嵩《诊断必备:肺部 CT 的诊断技巧及误区》
以反晕征为主要表现的肺结核患者,多为年轻患者,病情较轻,病灶主要分布在上肺,可有小结节、树芽征并存。本病例即肺结核,CT 表现主要为反晕征,伴随有小结节、树芽征,抗结核治疗后好转。

同影异病,同病异影,让很多医生摸不着头脑。其实这些影像表现都是有规律、有迹可循的,看的多、学得多了,就会成为厉害的 CT 秒杀大神!
【回馈用户,福利来袭】 原价 39.9 元 限时不要钱!免费学!可永久观看学习哦

丁香公开课特邀知名讲师 张嵩,共同打造精品课程 《 肺部 CT 读片基础:4 种常见征象详解 》 。
长按海报识别或扫描二维码 找「呼吸科小助教」领取福利👇
4 种常见征象详解:树芽征、磨玻璃影、晕征、反晕征 ,影像大神手把手带你学 CT 秒杀经验!
长按扫码 0 元享哦!
活动截至:2022.06.30 24:00
策划:田初芷题图来源:丁香公开课
